medicina(メディチーナ) 2020年 5月号
特集 教えて! 健診/検診“ホントのところ”~エビデンスを知り,何を伝えるか
医学書院 2020/5/18
約200ページ 2860円
の中で、文字数の関係でどうしても割愛せざるをえず、お蔵入りとなった部分の原稿についてここで公開。
本文の追補として。()内の人名は文末の引用文献の筆頭著者
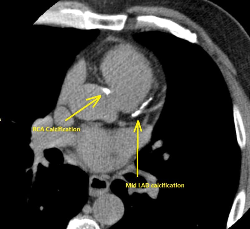
重要なメッセージとしては、CACスコア(Coronary Artery Calcium スコア)は冠動脈疾患の存在の可能性を見積もるものではなく、基本的にCVDリスクのより正確な見積もりを行う、つまりstatinやアスピリンの適応についての見積もりの正確度を上げるためのツールである、ということで、間違った解釈をされないよう。(冠動脈疾患の診断ができるかのように宣伝している自費ドックの医療機関もありますね。。。)
現時点ではUSPSTFでもI声明(推奨なし)です。
Cardiovascular Disease: Risk Assessment With Nontraditional Risk Factors(July 10, 2018)
ーー以下追補ーーーーー
ただし、CAC スコアは基本的にCVDリスクのより正確な見積もりを行うためのツールであり、冠動脈疾患や狭窄の存在を診断するためのものではない。そのため、ほとんどの研究が既存の臨床項目によるリスク予測ツールにCACスコアを追加することによる予測性能の改善を見ており(Lin)、冠動脈疾患や狭窄の存在に対する診断性能(感度、特異度など)について精度の高い研究は少ない。
白人、黒人、ヒスパニック、中国人を含む多民族グループのコホートにおけるCACスコアの予測性能の研究ではCACスコアが0の場合ほぼ確実に10年のイベントリスクが5%未満、100以上の場合は一貫して7.5%以上だったこと(Budoff)や、従来の臨床項目に基づくCVDリスク評価によってstatinが推奨されたグループの半分はCACスコアの追加によってstatinの適応とならない低リスク群に再分類されこと(Nasir)、を踏まえて米国心臓病学会(ACC)および米国心臓協会(AHA)らの推奨はstatinの適応を決める際にborderline risk群の一部とintermediate risk群で正確なリスクの見積もりが困難な場合に「のみ」CACスコアによるリスク予測の追加を検討する(クラスIIa)となっており、それらのグループでCACスコアが0のグループは喫煙者、糖尿病、家族歴の強い者以外はstatinの使用を控えて良い、100以上は開始を推奨、1−99では開始が望ましい(特に55歳以上)とされている(Grundy)。
図はGrundyのfigure2に追記したもの

また、すでにstatinを内服している患者においてはCACスコアのそもそもの測定目的であるスタチン投与をするかどうかの決定が既になされていること、またstatinがCACスコアそのものの値を増加させる可能性もあることから(Lee)、CACスコア測定の意義はないとされている(Grundy)
日本においては臨床項目のみから予測した冠動脈狭窄の確率が60%未満と見積もられた者のうちCACスコアの追加によって60%以上の確率と再分類された者が一定数存在し、予測性能の向上が示唆されているが(性能の改善は男性>女性)(Nakao)、本研究は冠動脈疾患の存在を疑われている50−74歳のコホートを対象とした研究であり、一般成人のスクリーニングには適用できない。
まとめると、CACスコアは一般成人への冠動脈疾患の有無をスクリーニングするツールとしては現時点で不適切であり、statinが開始されていない患者でstatinの適応を決めるにあたり、臨床項目のみで明らかなstatin不要なグループと明らかに必要なグループ以外の集団において、より正確なリスクの見積もりを行うためのツールとして捉える必要がある。ただし前述の通り10-year atherosclerotic cardiovascular disease(ASCVD)riskツールを日本人に用いた場合過剰評価となる可能性があり、日本人においてどのようなリスク集団がCACスコアの追加利益が得られるかについては今後の研究が待たれるところである。
Lin JS et al. Nontraditional Risk Factors in Cardiovascular Disease Risk Assessment: A Systematic Evidence Report for the U.S. Preventive Services Task Force. Evidence Synthesis, No.166. Rockville (MD): Agency for Healthcare Research and Quality (US); 2018 Jul.
Burdoff MJ et al. Ten-year Association of Coronary Artery Calcium With Atherosclerotic Cardiovascular Disease (ASCVD) Events: The Multi-Ethnic Study of Atherosclerosis (MESA). Eur Heart J. 2018 Jul 1;39(25):2401-2408.
Nasir K. et al. Implications of Coronary Artery Calcium Testing Among Statin Candidates According to American College of Cardiology/American Heart Association Cholesterol Management Guidelines: MESA (Multi-Ethnic Study of Atherosclerosis). J Am Coll Cardiol. 2015 Oct 13;66(15):1657-68
Grundy SM. et al. 2018 AHA/ACC/AACVPR/AAPA/ABC/ACPM/ADA/AGS/APhA/ASPC/NLA/PCNA Guideline on the Management of Blood Cholesterol: A Report of the American College of Cardiology/American Heart Association Task Force on Clinical Practice. 2019;139:e1082–e1143
Lee SE. et al. Effects of Statins on Coronary Atherosclerotic Plaques: The PARADIGM Study. JACC: Cardiovascular Imaging. Volume 11,Issue 10, October 2018, Pages 1475-1484
Nakao YM, et al. Sex differences in impact of coronary artery calcification to predict coronary artery disease. Heart 2018;0:1–7.
ここまで
接種の痛みを軽減する重要性とその方法-Vaccine_Digest_第17号(2018年7月発行)_-_毎日精いっぱい生きる事が一番の修行なのですIII-120x68.jpg)

コメント